Dental Bridges in Lunenburg, MA - Transform Your Smile Today
At David D. Gianino, DDS, we understand the impact that missing teeth can have on your self-confidence and overall quality of life. Dental bridges are a fantastic solution for restoring your smile and enhancing your oral health. If you're in Lunenburg, MA, and looking for effective missing teeth restoration, our practice proudly offers a range of personalized bridge options tailored to your specific needs.
Bridges are designed to fill the gaps left by missing teeth, helping you regain your ability to speak, chew, and smile with confidence. Our conventional dental bridges consist of two crowns that cap the natural teeth on either side of the gap, securely holding a replacement tooth in place. This solution not only restores your smile but also addresses potential issues caused by shifting teeth.

Explore Our Options for Missing Teeth Restoration
We recognize that every patient is unique, which is why we provide various types of dental bridges to suit individual needs. Whether you prefer traditional bridges or cutting-edge implant-supported bridges, our team is dedicated to helping you achieve a comfortable and functional smile.
Implant-Supported Bridges for Enhanced Stability
Did you know that dental bridges can also be anchored securely to dental implants? This innovative approach is particularly beneficial for patients who may not have strong enough natural teeth to support traditional bridges. Implant-supported bridges utilize one or two dental implants serving as stable foundations, ensuring your bridge remains securely in place. This method not only enhances comfort but also improves oral function, allowing you to enjoy your favorite foods without worry.
Cosmetic Dentistry for a Stunning Smile Makeover
In addition to functional benefits, our dental bridges offer aesthetic improvements to your smile. As a cornerstone of our cosmetic dentistry services in Lunenburg, these bridges are designed to blend seamlessly with your existing teeth, providing a natural look that enhances your overall appearance. A smile makeover with our expertly crafted bridges can boost your self-esteem and give you the confidence to shine in any situation
Implant-Supported Dentures
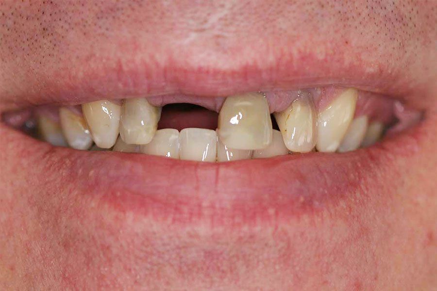
Bridges Before and After
See More Results in Our Smile Gallery
Bridges Before and After - Real Results from Our Patients
Don’t just take our word for it! We invite you to explore our smile gallery before and after photos, showcasing transformative results achieved through our dental bridges. Witness firsthand how our dedication to restoring smiles has positively impacted the lives of our patients in Lunenburg. The visual evidence speaks to our commitment to professional dental services that prioritize both function and aesthetics.
Patient-Centered Dental Care at Its Best
At our Lunenburg practice, patient-centered dental care is at the core of everything we do. We strive to create a welcoming and friendly environment where your comfort is paramount. Our dedicated team is here to listen to your concerns, answer your questions, and make each visit a positive experience.
We also offer free dental consultations in Lunenburg, allowing you to discuss your specific needs and explore all your options without any commitment. Our goal is to ensure you feel informed and empowered to make the best decision for your dental care.
Special Offers for New Patients in Lunenburg
To welcome new patients into our family, we provide exclusive patient specials in Lunenburg. These offers are designed to make your first visit exciting and affordable, allowing you to experience our comprehensive dental services without the stress of financial concerns.
Why Choose Us for Your Missing Tooth Restoration?
Choosing the right dental practice for your missing teeth restoration is crucial. Dr. Gianino is recognized as the go-to dentist in Lunenburg for complex cases and cosmetic enhancements, backed by numerous positive patient testimonials. Our reputation for professionalism, thoroughness, and a caring approach ensures that you are in capable hands every step of the way.
Investing in dental bridges is a long-term solution that promotes oral health while restoring the beauty of your smile. If you're ready to take the next step towards achieving the smile of your dreams, don’t hesitate to contact us today.
Schedule Your Consultation for Dental Bridges
Our office hours are designed with your convenience in mind. We’re available Monday through Thursday from 8:00 AM to 5:00 PM, and offer Friday appointments by request. We’re here to support you in achieving your dental goals, whether they involve missing teeth restoration or other cosmetic dentistry needs.
Join our community of satisfied patients who have transformed their smiles and their lives through our advanced bridge options. Together, let’s embark on the journey toward your best smile with dental bridges in Lunenburg, MA.
Contact us today to learn more and schedule your consultation!
We Offer FREE Second Opinions

