Invisalign in Lunenburg, MA
If you’re in Lunenburg and considering orthodontic care, the revolutionary Invisalign system is the perfect solution to achieve a straighter, healthier smile. With clear braces, you can now address a variety of orthodontic issues without the cumbersome wires and brackets typically associated with traditional braces. Invisalign allows you to correct the alignment of your teeth while maintaining your lifestyle, empowering you to pursue your daily activities without the self-consciousness that often comes with conventional orthodontic treatments.
What is Invisalign in Lunenberg MA?
Invisalign is an advanced orthodontic treatment specifically designed for modern patients seeking a discreet and effective method for teeth straightening in Lunenburg. This innovative system utilizes a series of clear, custom-made aligners to gradually shift teeth into their ideal positions. Unlike metal braces, which can be uncomfortable and restrictive, Invisalign aligners are virtually invisible, making them an excellent choice for both adults and teens. You can enjoy the benefits of alignment without drawing attention to your mouth.
These removable aligners revolutionize convenience in dental care. You’ll receive a new set of aligners approximately every one to two weeks, ensuring steady progress toward a flawlessly aligned smile. Whether you're a busy professional who requires a polished look, a student preparing for prom, or an athlete who needs flexibility during games, Invisalign offers the freedom to remove the aligners while eating, drinking, brushing, and flossing.
Invisalign Corrects Various Orthodontic Problems
Invisalign can effectively address numerous orthodontic issues, including:
- Crowded teeth: Clear braces help create space in your mouth, ensuring your teeth are properly aligned.
- Gaps in teeth: Invisalign helps eliminate unsightly gaps, promoting a balanced smile.
- Overbite: Correcting an overbite with comfortable aligners can enhance both your appearance and bite functionality.
- Underbite: Aligners can bring your jaw into a more harmonious relationship with your teeth.
- Cross bite: Evenly aligning your teeth with Invisalign can improve your bite and overall dental health.
- Open bite: This treatment closes gaps in your bite, enhancing your chewing ability.
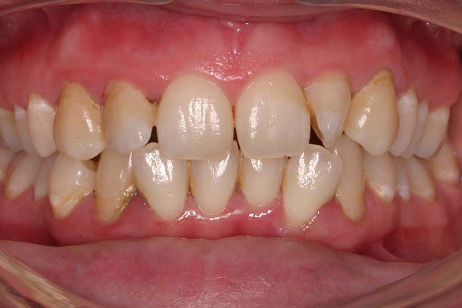
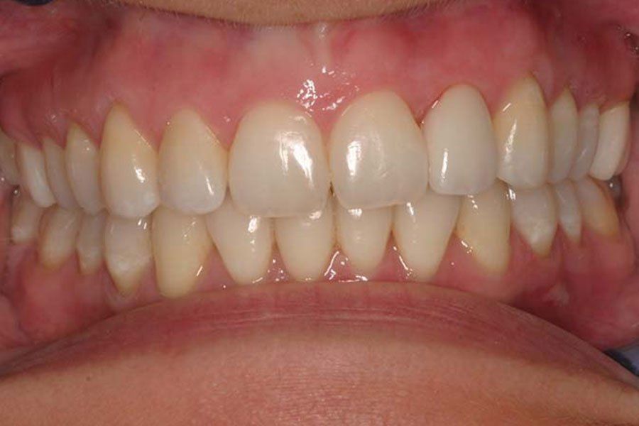
Invisalign Before and After
See More Results in Our Smile Gallery
Why Choose Invisalign in Lunenberg?
Choosing the right orthodontic treatment is an important decision, and Invisalign stands out for many reasons:
Discreet Appearance: One of the most compelling features of Invisalign aligners is their clear design. They are virtually invisible, allowing you to pursue your professional or social engagements without feeling self-conscious about your braces.
Comfortable Fit: Made from smooth plastic, Invisalign aligners provide a level of comfort that metal braces simply can't match. This minimizes irritation to your mouth and gums, enhancing your overall orthodontic experience.
Convenience of Removability: Unlike traditional braces, which can restrict your diet and complicate oral hygiene, removable aligners give you the freedom to enjoy all your favorite foods without worry. Simply take them out during meals, and clean your teeth easily with no obstacles.
Personalized Care: At Dr. Gianino’s dental practice, patient-centered dental care in Lunenburg is our priority. We provide tailored Invisalign plans based on your specific needs. Our Lunenburg orthodontist will work closely with you to ensure the best results, whether you have a complex case or a straightforward teeth straightening requirement.
The Benefits of Invisalign
Invisalign offers numerous advantages over traditional metal braces. The convenience of removable aligners enhances patient compliance, as there are no restrictions on meals or oral hygiene routines. Additionally, many adults and teens appreciate the subtlety of invisible braces, allowing them to maintain their everyday appearance while achieving remarkable dental transformations. The ability to briefly remove the aligners means you can speak and smile confidently during important events—no adjustments necessary.
Your Local Expert in Orthodontic Treatment in Lunenburg
Dr. Gianino is known as the go-to dentist for complex cases in Lunenburg and specializes in cosmetic dentistry. Our office is dedicated to ensuring all patients enjoy a positive and effective experience with their orthodontic treatment. We believe that a great smile is a gateway to increased self-esteem and improved oral health, and we are here to guide you through every step of your Invisalign journey.
Choose Lunenburg’s leading dental practice for your orthodontic needs, where we combine expertise with a commitment to comfortable orthodontics that fits your lifestyle. With our special offers for new patients, there’s no better time to explore how Invisalign can change your life.
Take the First Step Towards Your Beautiful Smile Today
If you’re ready to start your journey towards a straighter, healthier smile, reach out to us for a consultation. Discover why many families in Lunenburg trust Dr. Gianino with their orthodontic treatment. Embrace clear aligners as your pathway to comfort, confidence, and a gorgeous smile!
Begin your Invisalign journey today with Dr. Gianino—where personalized, patient-centered orthodontic care meets the latest technology in invisible braces. You deserve the best in dental care services, and we are here to deliver that with understanding and compassion in every interaction.


