Full and Partial Dentures in Lunenburg, MA
At David D. Gianino, DDS, we understand that losing teeth can impact not only your ability to chew and speak but also your confidence and self-esteem. That's why we take pride in offering high-quality full and partial dentures in Lunenburg, MA, designed specifically to enhance your smile and improve your quality of life. Our patient-centered dental care approach means that we prioritize your needs and preferences while creating custom dentures that reflect your aesthetic desires and functional requirements.
Regain Your Smile With Custom Dentures
Our full dentures provide a complete solution for those who have lost all their natural teeth, allowing our patients to regain their ability to eat, speak, and smile with confidence. Similarly, our partial dentures are an ideal choice for those who still have some remaining teeth and wish to fill the gaps in their smile while maintaining functionality. Each set of dentures is crafted with precision, ensuring a comfortable fit and a natural appearance.
We encourage you to book a dentures consultation with us, where you can discuss your personalized needs and vision for your smile. Our experienced staff will take the time to listen to your concerns, making sure your new dentures are exactly what you are looking for.
Implant-Supported Dentures: A Leap Forward in Comfort
One of the most exciting advancements in denture technology is implant-supported dentures, a service we proudly offer at our practice. These innovative dentures are anchored securely to multiple dental implants, providing stability and enhancing comfort—a game changer for many of our patients in Lunenburg, MA. The benefits of implant-supported dentures are numerous:
- Freedom from dietary restrictions: Enjoy the foods you love without worrying about denture movement.
- No shifting or movement: You can speak confidently without the fear of your dentures slipping.
- Enhanced comfort: Say goodbye to uncomfortable pressure points on your gums.
- Effortless communication: Speak naturally with confidence.
- Elimination of messy adhesives: No more fussing with gooey substances; our denture fitting services ensure a secure bond.
Dr. Gianino specializes in the restoration of implants, ensuring that your overdentures are expertly crafted for optimal function and comfort. After a specialist places the implants, we take care of the rest, providing you with beautiful full or partial dentures that integrate seamlessly with your dental implants.
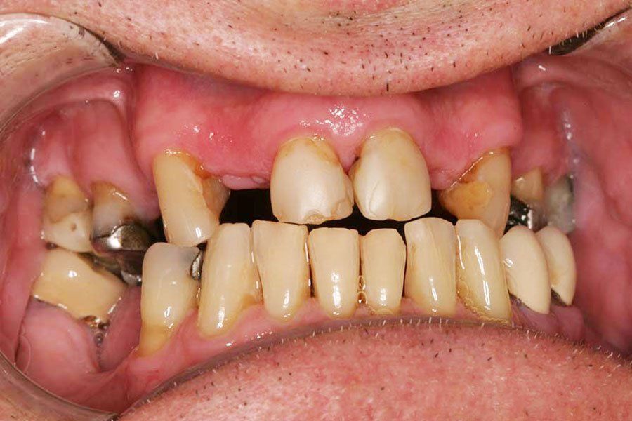
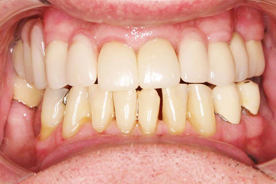
Before and After: Transformations You Can Trust
Transforming smiles is what we do best! We invite you to view the remarkable results in our Smile Gallery, showcasing the stunning before-and-after images of our satisfied patients who now proudly wear their dentures. These transformations are a testament to the quality of our denture fitting services and Dr. Gianino's expertise in cosmetic dentistry in Lunenburg.
Patient Testimonials: Hear It From Our Community
We believe in the importance of trust and transparency, which is why we encourage you to read our patient testimonials. Our patients share their experiences of the caring and professional service they received at our practice. With a reputation for quality dental care and patient-centered treatment, Dr. Gianino has become the go-to dentist in Lunenburg for many families seeking dental implants, restoration solutions, and comprehensive cosmetic dentistry services.
No Obligation FREE Second Opinions
If you're considering dentures, whether full or partial, we are here to help. We offer FREE second opinions for patients unsure about their treatment options. This no-obligation service helps you make informed decisions about your dental health and gives you the peace of mind you deserve.
Schedule a Consultation Today!
Your journey to a confident smile starts with a consultation at our friendly family dental practice in Lunenburg, MA. Whether you're exploring full dentures, partial dentures, or implant-supported dentures, we will guide you through the process with care and expertise. Don't hesitate to reach out and learn more about our patient specials, designed to make our services accessible to all.
Discover quality dental care tailored to your needs, and let us help you regain your smile. At our practice, we foster an environment of trust, comfort, and positive dental experiences, ensuring every patient leaves with a smile. Your satisfaction and well-being are our top priorities, and we can't wait to help you achieve the smile you've always wanted with our expertly crafted dentures in Lunenburg, MA.
Partial Dentures Before and After
See More Results in Our Smile Gallery
We Offer FREE Second Opinions


